Dr. Amit Mohan, M11516
Chief Author: Dr Amit Mohan, MS, FAICO
Consultant pediatric ophthalmology & strabismus.
Global Hospital Institute of Ophthalmology, Talehati, Abu Road (Raj)
Email- mohan.amit1@yahoo.co.in
Abstract:
Background:
Primary microtropia with identity is used to describe the condition with no manifest deviation on cover test, positive 4PD base out test, normal motor fusion, abnormal binocular single vision, reduced stereoacuity, amblyopia and foveal suppression scotoma. The aim of this study was to compare the macular and retinal nerve fibre layer (RNFL) thickness of microtropic eye with the contra lateral healthy eyes using optical coherence tomography (OCT).
Material & methods:
Fifteen patients of microtropia were studied. Macular and RNFL thickness were obtained using spectral domain OCT and were compared between microtropic eye and contra lateral healthy eye. Macular thickness was evaluated in nine quadrants using the early treatment diabetic retinopathy study (ETDRS) grid. The foveal thickness and the thickness of the outer segment (OS) and photoreceptor inner segment (IS) layer were measured by the embedded OCT software.
Results:
The mean macular thickness was 280+/-_22 microns in microtropia & 281+/-_ 12 microns in fellow eye and the mean RNFL thickness was112.69+/-_15.12 and 107.47+/-_10.31 microns respectively. The macular thicknesses did not differ significantly but RNFL thicknesses differed significantly. The length of OS was significantly greater in the fellow eyes (49+/-_6 micron) than in the microtopic eyes (43+/-_4 micron) p<0.05. Macula is significantly thinner in inner temporal quadrant (307+_29 micron) in microtropia as compared to normal fellow eye (321+/-_45 micron)p<0.05 in ETDRS grid maping.
Conclusion:
There does not seem to be a difference in average macular thickness but peripapillary RNFL thickness differ between microtropic eye and fellow eye. OS length was less in microtropic eye. Macula is thinner in inner temporal quadrant in microtropia than normal eye suggestive of microtropia has qualitative and quantitative difference in the retinal microstructure of fovea from normal eyes.
Keywords: Primary microtropia, retinal nerve fibre layer thickness, macular thickness, optical coherence tomography.
Introduction
Microtropia is defined as a manifest deviation of less than 5° in which ARC (giving rise to abnormal binocular single vision (ABSV)), normal motor fusionand reduced or absent stereoacuity are found. In addition, amblyopia, a foveal suppression scotoma, and uniocular eccentric fixation are present and there is a close association with anisometropia. The term microtropia “with identity” is used by most authorities to describe patients with no manifest movement on cover test, the eccentric fixation point coinciding with the angle of ARC. Microtropia “without identity” describes patients in whom the manifest movement is demonstrated on the cover-uncover test. Microtropia may be primary, when there is no history of previous large angled strabismus or secondary following surgical or optical correction of a larger strabismus or associated with other ocular pathology. [1]
Yen et al. hypothesized that the normal postnatal reduction predicted that this would cause increased RNFL thickness. [2] If this does indeed occur, it is likely that the arrest of normal postnatal changes would result not only in increased RNFL thickness but also would affect the normal maturation of the macula, including movement of Henle’s fibers away from the foveola and a decrease in foveal cone diameter. This would result in increased foveal thickness. [2] Furthermore, because of the reduced apoptosis of retinal ganglion cells, the thickness of the ganglion cell layer in the macula would also be increased. The purpose of this study was to evaluate the structural changes of the macula in patients with primary microtropia using OCT image segmentation.
It was our plan to investigate macular and retinal nerve fiber layer thickness (RNFLT) in microtropic eyes to determine whether it is thicker. Several techniques to evaluate the RNFLT, such as red-free ophthalmoscopy, scanning laser polarimetry (SLP) and optical coherence tomography (OCT) have been described. OCT is anon-invasive, noncontact technique that measures RNFLT. [3, 4] The RNFLT measured by OCT corresponds to the RNFLT measured histologically.[3] Because OCT is based on nearinfrared interferometry, the thickness measurement is not affected by refractive status or axial length of the eye, or by light changes in nuclear sclerotic cataract density.
The purpose of our investigation is to use optical coherence tomography to measure macular and RNFLT in patients with microtropia, and to compare the macula and RNFL thicknesses of the microtropic eye and the normal eye in patients with primary microstrabismus.
Material & Methods
This study was performed from April 2014 to March 2015 on 15 microtropic patients between the ages of 10 years and 25 years who were diagnosed with unilateral diminished vision because of microtropia to measure the Retinal nerve fiber layer and Macular Retinal Layer for both microtropic and normal fellow eyes by OCT. Patients were recruited from the strabismus clinic of Global Hospital Institute of Ophthalmology, Abu Road after Institutional Review Board (IRB) approval.
Diagnosis of a microtropia was determined by the following criteria: (1) Cover test revealing only a latent deviation or no deviation, in patients with microtropia with identity, or a small manifest deviation in microtropes without identity, measuring <5°. (2) The Irvine 4 dioptre prism test1 was employed to detect a central suppression scotoma in the microtropes with identity. (3) Bagolini glasses confirmed the presence of ARC. (4) The prism reflex test (usually 20pd base out) detected the presence of motor fusion or alternatively prisms were used to measure the fusion range. (5) The TNO stereoacuity test was selected to measure the stereoacuity levels in the majority of patients, but if a negative or inconclusive response was found, then the Titmus fly test was performed.
Eligibility testing included visual acuity, cycloplegic refraction, manifested refraction, fundus examination, and ocular motility test. Patients with a neurological disease or ocular diseases or nystagmus, patients who were too young to cooperate, and patients whose pupillary dilation was not sufficient were excluded from this study. Informed
consent was obtained from the patients or children’s parents. The measurement was performed by the same examiner.
Prior to the examination, the pupils were dilated with 1% cyclopentolate and phenylephrine.
To measure the thickness, the examiner focused a scanning beam on the fundus with an infrared sensing camera. Subsequently, the images were obtained by performing macula scan. RNFL scan was used for retinal nerve fiber layer thickness measurement for each eye. The map of the macula thickness measurement was composed of three concentric circles: a central circle, an inner ring and an outer ring. Macular thickness was evaluated in nine quadrants using the Early Treatment Diabetic Retinopathy Study (ETDRS) grid comprising three concentric circles with diameters of 1, 3, and 6mm. The quadrants were named the central zone, inner superior-nasal-inferior-temporal and exterior superior-nasal-inferior-temporal from innermost to outermost (Figure 1). Each area was compared with the corresponding area in the fellow eye. The results were analyzed statistically using SPSS version16. Comparison was performed using student’s t-test. P values less than 0.05 were considered to be significant.
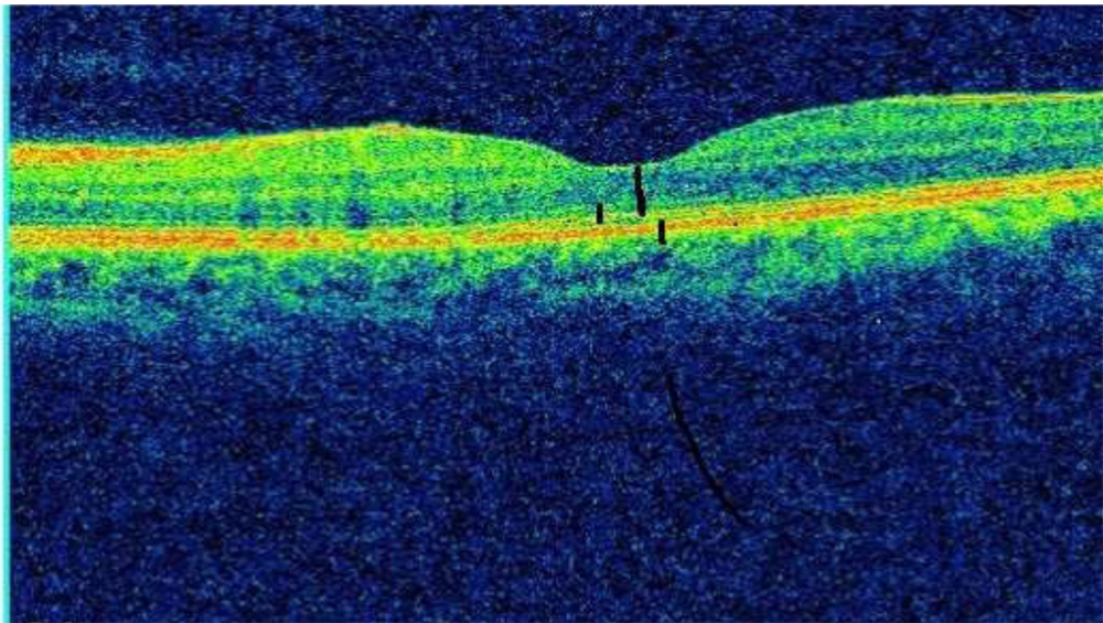
The retinal thicknesses were measured by experienced observer who was masked to the diagnosis and other clinical information. They measured the retinal thickness manually with the embedded OCT software. The ONL thickness was distance between the outer border of the inner limiting membrane and external limiting membrane (ELM) at fovea. The photoreceptor IS length was measured as distance between ELM and outer border of highly reflective line representing the ellipsoid zone (EZ) at the central fovea. The photoreceptor OS length was measured as distance between EZ and RPE at the centre of fovea. (Fig.2)
Results
Total of 15 patients with primary microtropia were enrolled in this study. They included 10 (66.6%) males, and 5 (33.3%) females, and their mean age was 17.5 years (age range 10–25 years).
The mean total thickness of retinal fibre layer, macula, and fovea are shown in (Table-1). There was statistically significant difference found when comparing the thickness of RNFL in microtropic eyes and normal fellow eyes, but there was no statistically significant difference found when comparing the thickness of both macula and fovea in microtropic eyes and normal fellow eyes.
Table-1 Retinal nerve fiber layer thickness, macular thickness, and foveal thickness (lm) in the strabismus amblyopic patients. (all values are in microns)
| RNFLT | MT | FT | |||||||
| M | N | M | N | M | N | ||||
|
112.69+/-15.12 | 107.47+/-10.31 | 280+/-22 |
|
204.31+/-33.81 |
|
|||
| P value | <0.05 | >0.05 | >0.05 |
M: Microtropic eyes, N: normal eyes, RNFLT: retinal nerve fibre layer thickness, MT: macular thickness, FT: foveal thickness
There was no significant difference in central macular thickness or macular thickness in the eight quadrants from central to peripheral zone between the healthy and microtropic eyes except in inner temporal quadrant. The average macular thicknesses obtained with the ETDRS grid in eight quadrants from innermost to outermost are summarized in (Table-2)
Table-2 Macular thickness in ETDRS grid mapping.(in microns)
| Microtropic eye | Fellow eye | P value | |
| Central zone | 204.31+_33.81 | 199.3+_39.31 | >0.05 |
| Inner superior | 342.75+_16.89 | 342.90+_14.86 | >0.05 |
| Inner nasal | 346.20+_16.70 | 346.20+_14.02 | >0.05 |
| Inner inferior | 343.85+_13.87 | 340.00+_19.72 | >0.05 |
| Inner temporal | 307.65+_14.93 | 321.70+_15.17 | <0.050 |
| Exterior superior | 313.60+_13.64 | 309.75+_13.68 | >0.05 |
| Exterior nasal | 318.05+_17.80 | 318.75+_15.26 | >0.05 |
| Exterior inferior | 294.60+_18.76 | 294.90+_17.40 | >0.05 |
| Exterior temporal | 297.55+_13.73 | 293.55+_13.21 | >0.05 |
The mean thickness of the ONL, IS, OS were 86.0+/-11.1mm, 49.5+/-10.0mm and 43.0+/-4mm respectively in microtropic eye. The mean thicknesses for the same layer in the fellow eyes were82.2+/- 12mm, 43.0+/-10mm and 49.0+/-6.0mm respectively. There were no significant difference in the thickness of the ONL and IS layer between microtropic and fellow eyes. The length of OS was significantly greater in fellow eyes than the microtopic eyes. (Table-3)
Table-3 Mean thickness of ONL, IS, OS(in mm)
| Microtropic eye | Fellow eye | P value | |
| ONL thickness | 86.0+/-11.1 | 82.2+/-12 | >0.05 |
| IS thickness | 49.5+/-10.0 | 43.0+/-10 | >0.05 |
| OS thickness | 43.0+/-4.0 | 49.0+/-6.0 | <0.05 |
(All the measurements should be either in microns or mm)
Discussion
Small angled squint with characteristics consistent with the term microtropia has been recognised for over 40 years. [5-7] Parks and Eustis introduced the term monofixational phoria[8] which they later revised to monofixation syndrome[9], to describe an absence of bifoveal fusion with maintenance of normal retinal correspondence (NRC) associated with an enlarged Panum’s fusional area. Microtropia has been the subject of debate since Lang coined the term to describe a small angled strabismus with anomalous retinal correspondence (ARC), normal fusional amplitudes, and reduced stereopsis.[10]
Microtropia is considered as a sensory and motor phenomenon leading to diminished vision and abnormal binocularity. There is no published literature available on structural changes in disc & macula in cases of microtropia. There is lack of published evidence to confirm the view that microtropes have abnormal nerve fibre layer thickness and OS length.
There are some limitations of our study. We investigated only a small number of subjects. Additionally all the patients are of same region & ethnicity. Thus further studies will be necessary on a larger number of subjects of different ethnicity.
In conclusion there does not seem to be a difference in average macular thickness but peripapillary RNFL thickness differ between microtopic eye and fellow eye. OS length was less in microtopic eye. Macula is thinner in inner temporal quadrant in microtopia than normal eye suggestive of microtopia has qualitative and quantitative difference in the retinal microstructure of fovea from normal eyes.
References
1. von Noorden GK. In: Binocular vision and ocular motility: theory and management of strabismus. 5th ed. St Louis: Mosby, 1996:326–30.
2. Yen MY, Cheng CY, Wang AG (2004) Retinal nerve fiber layer thickness in unilateral amblyopia. Invest Ophthalmol Vis Sci 45: 2224–2230.
3.Huang, D., Swanson, E.A., Lin, C.P., et al., 1991. Optical coherence tomography. Science, 1178–1181.
4. Schuman, J.S., Pedut-Kloizman, T., Hertzmark, E., et al., 1996. Reproducibility of nerve fiber layer thickness measurements using optical coherence tomography. Ophthalmology 103, 1889–1898.
5. Irvine SR. Amblyopia ex anopia: observations on retinal inhibition, scotoma, projections, light difference discrimination and visual acuity. Trans Am Ophthalmol Soc 1948;46:527–75.
6. Gittoes-Davies R. An examination of the aetiology and treatment of small convergent deviations, associated with a low degree of hypermetropia with a new approach to the treatment of this condition. Br Orthop J 1951;8:71–84.
7.Jampolsky A. Esotropia and convergent fixation disparity of small degree:differential diagnosis and management. Am J Ophthalmol 1956;41:825–33.
8. Parks MM, Eustis AT. Monofixational phoria. Am Orthop J 1961;11:38–45.
9.Parks MM. The monofixation syndrome. Trans Am Ophthalmol Soc 1969;69:609–57.
10.Lang J. Bie bedeutung des primaren Mikrostrabismus fur die Entstehung des Schielens. KlinMontatsblAugenheilkd 1966;151:352.

Fig-1 ETDRS grid map showing 9 quadrants of macula with their thickness

Fig-2 ONL, IS, OS thickness at fovea.

